
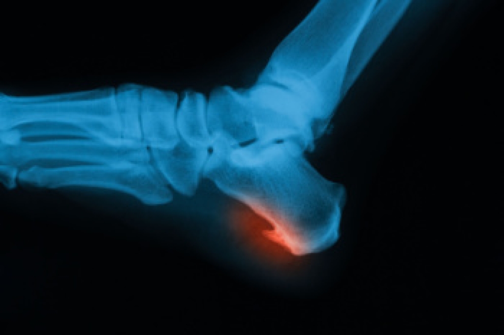
Stress fractures are common injuries to the bones of the legs and feet, resulting from repetitive stress rather than sudden injury. These hairline cracks in the bone affect athletes, including runners, basketball players, or dancers. Pain from stress fractures is particularly felt during weight-bearing activities and direct pressure on the bone. They may be difficult to diagnose as the pain often subsides when activity stops. Because they do not always show up on an X-ray, further diagnostic tests, like CT or MRI scans may be needed. Left untreated, stress fractures in the feet or ankles can worsen, leading to more severe complications. Seeking timely medical attention from a podiatrist is essential for proper diagnosis and treatment tailored to individual needs. This facilitates pain relief, promotes healing, and prevents further damage. If you are experiencing symptoms suggestive of a stress fracture, it is suggested that you schedule an appointment with a podiatrist.
Stress fractures occur when there is a tiny crack within a bone. To learn more, contact Scott Samera, DPM from Samera / Foot + Ankle. Our doctor can provide the care you need to keep you pain free and on your feet.
How Are They Caused?
Stress fractures are the result of repetitive force being placed on the bone. Since the lower leg and feet often carry most of the body’s weight, stress fractures are likely to occur in these areas. If you rush into a new exercise, you are more likely to develop a stress fracture since you are starting too much, too soon. Pain resulting from stress fractures may go unnoticed at first, however it may start to worsen over time.
Risk Factors
- Gender – They are more commonly found in women compared to men.
- Foot Problems – People with unusual arches in their feet are more likely to develop stress fractures.
- Certain Sports – Dancers, gymnasts, tennis players, runners, and basketball players are more likely to develop stress fractures.
- Lack of Nutrients – A lack of vitamin D and calcium may weaken the bones and make you more prone to stress fractures
- Weak Bones – Osteoporosis can weaken the bones therefore resulting in stress fractures
Stress fractures do not always heal properly, so it is important that you seek help from a podiatrist if you suspect you may have one. Ignoring your stress fracture may cause it to worsen, and you may develop chronic pain as well as additional fractures.
If you have any questions please contact our office located in Lake City and Branford, FL . We offer the newest diagnostic and treatment technologies for all your foot and ankle needs.


Swollen and painful ankles



